

Principal Investigator
Focus of our lab is to understand the molecular and genetic basis of oral precancerous lesions and head and neck cancers, to develop clinically relevant biomarkers for early detection and improved prognosis. We also aim to develop strategies of chemoprevention using phytochemicals.

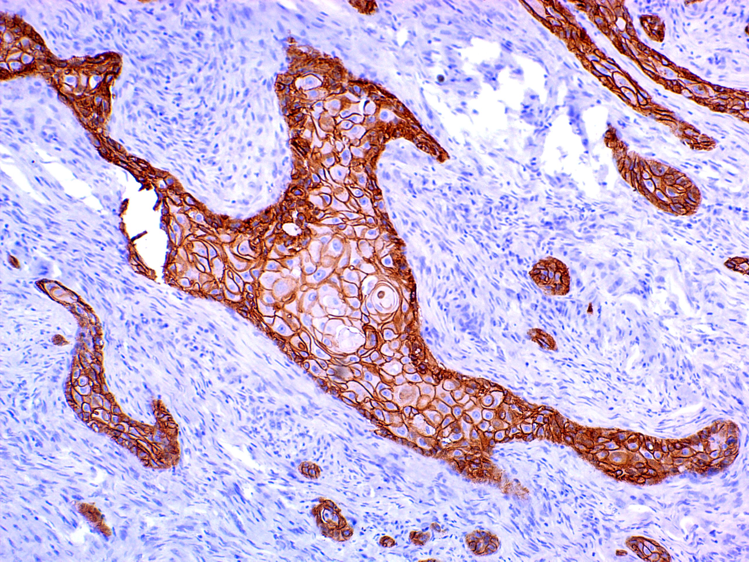
Oral cancer has a well-documented long preclinical phase, starting with an oral pre-invasive lesion (OPL) which… more

Hydrogen has three naturally occurring isotopes, the stable forms; the Protium (1H), and Deuterium (2H), while t… more

Head and neck squamous cell carcinomas (HNSCCs) is a complex and heterogeneous disease regulated at multiple lev… more
This study focuses on the development and characterization of a modified 4NQO-induced tongue tumour model of ora… more

This study aims to evaluate the therapeutic potential of Ivermectin, an FDA-approved antiparasitic drug commonly… more

SRF CRI Ph D Student
SRF CRI Ph D Student

SRF CRI Ph D Student
SRF CRI Ph D Student

Junior Research Fellow
Junior Research Fellow

Junior Research Fellow
Junior Research Fellow

Medical Social Worker
Medical Social Worker

Scientific Assistant
Scientific Assistant

Project Assistant
Project Assistant

Technician - A
Technician - A

Technical Assistant
Technical Assistant
Shaikh ZM, Banerji S, Sunil S, Zachariah A, Aradhye P, Anbarasu A, Gawde J, Kaushal RK, Yadav S, Thorat R, Mahimkar MB
Chavda R, Inchanalkar M, Gawde J, Mahimkar MB.
Budrukkar A, Kashid SR, Swain M, Ghosh Laskar S, Mittal N, Mahimkar M, Sasidharan A, Patil A, Patel U, Murthy V, Gupta T, Patil V, Joshi A, Noronha V, Sinha S, Kumar A, Menon N, Bal M, Prabhash K, Agarwal JP.
Shaikh N, Pandey M, Manna S, Gawde J, Noronha V, Joshi A, Patil VM, Prabhash K, Mahimkar MB